近日,“黑龙江省最美医生”、哈医大肿瘤医院头颈外科的项丞教授团队,完成一例罕见心包上甲状腺肿瘤“非开胸”切除手术,成功将一名生命垂危的病人从死神手中挽救回来。
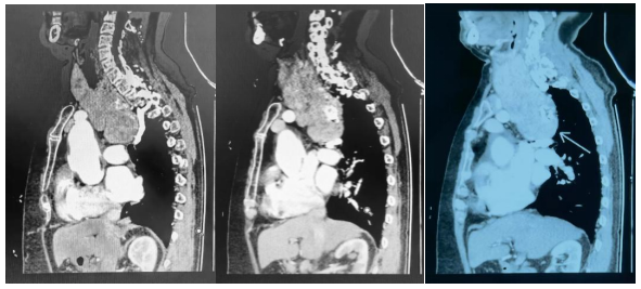
74岁的张大娘多年前出现心脏难受、喘气费劲、身上无力等症状,最近一段时间,她呼吸困难,连进食都无法完成,身体迅速衰弱。前期检查发现,张大娘的胸部心包上存在一个巨大的肿瘤。全家人抱着最后一丝希望来到哈医大肿瘤医院寻求帮助。

患者由于肿瘤长期压迫心包和肺动、静脉,已经出现心包积液,并伴有严重的房颤、三尖瓣重度反流、肺炎。哈医大肿瘤医院头颈外科鼻咽喉口腔二病房项丞教授经过专业判断,发现肿瘤的来源是甲状腺,虽然颈部的包块并不明显,但肿瘤向下生长,从颈部一直长到胸部,成为了“压在心里的大石头”。

由于患者病情复杂,项丞教授团队组织哈医大肿瘤医院介入科、影像中心、心内科、胸外科、麻醉科、呼吸内科、腔镜室等多学科联合会诊,为张大娘制定了颈部切口游离颈部肿瘤,并利用腔镜辅助分离胸部、上纵膈、心包上肿瘤的治疗方案。

经过充分的术前讨论和准备,由项丞教授团队为患者实施手术。医疗团队全神贯注,手术器械在锁骨下动脉、头臂经脉、上腔静脉、肺动脉干、主动脉弓表面徐徐推进,肿瘤一点一点从胸腔升起。跳动的心脏使得手术区域不停的上下起伏,项丞教授顺应着心脏收缩、舒张的节律调整团队手术操作的节奏,把分离肿瘤对心脏的影响减到最低,肿瘤主体终于从胸腔逐渐“浮出水面”。整个肿瘤完整的从颈部和胸腔内取出。患者的气管、心脏和各大血管终于解除压迫、回归正常位置。

据哈医大肿瘤医院头颈外科鼻咽喉口腔二病房主任裴荣介绍,哈医大肿瘤医院在治疗颈胸交界处的肿瘤有独到的优势。此次项丞教授团队在未开胸骨的情况下,将体积大、位置低的心包上肿瘤从颈部完整取出,大大降低了患者的手术创伤和并发症,充分体现了哈医大肿瘤医院头颈外科治疗技术优势。(吕元景)

