近日,黑龙江中医药大学附属第一医院介入科成功实施了CT引导下经皮肝穿刺活检术和DSA(数字减影血管造影)下肝动脉化疗栓塞术,为一名肝脏多发占位病变患者进行精准治疗。
71岁的尚女士有胃癌病史,因腹部出现异常肿块前来我院外四科(微创外科)就诊。尽管患者无明显不适,但通过检查发现其胰头区及肝脏存在多发占位病变,引起医生高度关注。在全面评估病情后,介入科、外四科、CT磁共振科的专家们充分讨论,并决定通过CT引导下的经皮肝穿刺活检术明确病理,进一步实施DSA下肝动脉化疗栓塞术,以控制病灶发展,减轻患者病痛。

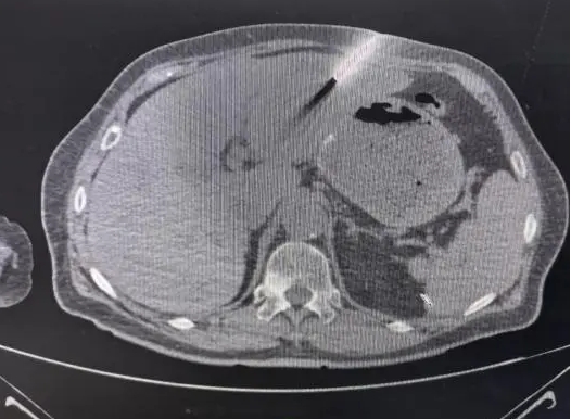
CT引导下经皮肝穿刺活检术:
精准采样,诊断保障
肝穿刺活检术是在影像引导下,通过细针穿刺获取病变组织进行病理学分析的微创操作技术。CT引导下经皮肝穿刺活检术凭借精准的成像定位,可实现全程操作精准性。术前,医生根据CT影像分析锁定胰头区和肝脏多发占位病灶位置,并详细评估病灶周围解剖结构;术中,通过CT实时定位,使穿刺针通过肋间间隙到达肿瘤区域。最终,可在避免邻近重要血管与胆管损伤的前提下,精准将穿刺针引导至目标病灶,顺利获取病理组织样本。术后,患者无明显不适,病理结果明确,为后续治疗方案制定提供了科学依据,展现出微创诊疗的高效与安全。

CT引导下肝穿刺影像图片。
DSA下肝动脉化疗栓塞术:
直击病灶,精准治疗
肝动脉化疗栓塞术(TACE)是一种通过动脉内注射抗癌药物联合栓塞剂的微创治疗手段,常用于治疗肝癌及转移性肝肿瘤。针对患者肝脏多发病变的情况,可采用DSA(数字减影血管造影)引导下的精准治疗方式进行手术。术中,通过局部麻醉穿刺股动脉置入导管,导管末端精确送达肝总动脉,在高压注射器造影下明确肝左叶病灶供血动脉走行,随后将微导管插入肝左动脉,缓慢注入含碘化油的乳化剂,精准封堵病灶供血。术中监测和术后影像均显示碘化油在肝左叶病灶内明显沉积,药物滞留效果良好。为确保疗效、减少副作用,手术采取多次缓慢灌注技术,最终精准阻断肿瘤供血,达到消解病灶的目的。术后,患者恢复良好,未出现明显并发症,目前正在制定后续治疗计划。

腹腔干造影。

微导管超选至肝左动脉可见碘化油栓塞剂沉积于肿瘤组织。
肝脏多发病变的诊断和治疗一直是医学领域的难题。传统治疗方法往往创伤较大、恢复缓慢。而“CT引导下经皮肝穿刺活检术”以精准定位、安全性高闻名,被称为“肝脏诊断的金标准”。“DSA下肝动脉化疗栓塞术(TACE)”则通过阻断病灶供血达到抑制肿瘤的效果,是恶性肿瘤综合治疗的重要环节。二者结合应用,以多学科协作模式,不仅提高了诊疗效率,还为患者提供了更加个性化医疗服务。未来,介入科将继续秉承“以患者为中心”的理念,积极探索各种微创介入技术,以精湛的治疗水平为更多患者带来治愈希望。

